Porcelain dental bridges are a fixed tooth-replacement technique that has become increasingly popular thanks to their many outstanding advantages. So how is the porcelain bridge procedure carried out, and what should you keep in mind to ensure long-lasting durability and aesthetics? Let’s join Shark Dental Clinic in exploring the essential information about this modern restorative solution in the article below!
What are porcelain dental bridges?
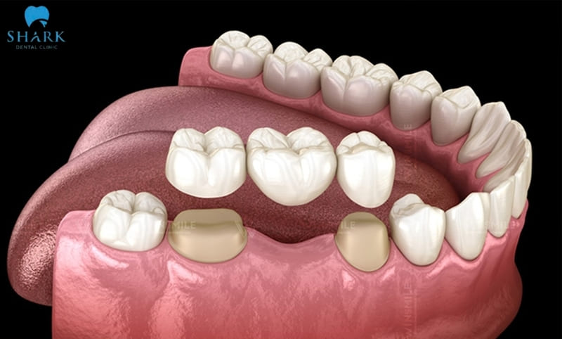
Porcelain dental bridges are fixed dental restorations used to replace one or more adjacent missing teeth. In this procedure, the dentist prepares (reduces) two healthy natural teeth on either side of the gap to serve as abutments. A continuous porcelain prosthesis is then placed and permanently bonded to these abutments, creating a “bridge” that connects the supporting teeth and fills the empty space.
This solution helps restore chewing function, improves aesthetics, and prevents neighboring teeth from shifting. Made from high-quality porcelain that closely resembles the color and shape of natural teeth, porcelain dental bridges offer a natural feel, firm stability, and comfortable daily chewing. With proper technique and good oral care, porcelain bridges can maintain their durability and functionality for many years.

Why choose porcelain for bridge aesthetics and comfort?
Here are reasons why porcelain is the preferred material for dental bridges, ensuring both aesthetics and comfort:
- Outstanding aesthetics: Porcelain has natural translucency and light-reflecting properties similar to real tooth enamel, resulting in a highly natural appearance for the bridge.
- Stain resistance: The smooth, glossy surface of porcelain resists discoloration from coffee, tea, and pigmented foods better than many other materials.
- High biocompatibility: Porcelain is gentle on oral tissues, does not irritate the gums, and does not create dark metal margins over time.
- High durability: Porcelain provides good strength and load-bearing capacity, allowing patients to enjoy their favorite foods without worrying about cracking or rapid wear.
What types of porcelain bridges are available?
Depending on the patient’s oral condition, the dentist may recommend one of the following common types of porcelain dental bridges:
- Traditional dental bridge: Utilizes two healthy natural teeth on either side as abutments to support a fixed porcelain bridge, offering strong chewing functionality.
- Cantilever bridge: Uses only one natural tooth as an abutment, typically applied in areas with lower biting forces to preserve adjacent teeth.
- Maryland (Resin-bonded) bridge: Consists of a prosthetic tooth with two bonded wings attached to the inner surfaces of the abutment teeth, minimizing tooth reduction and is mainly suitable for front teeth.
- Implant-supported porcelain bridge: Utilizes dental implants placed directly into the jawbone as supports instead of natural teeth, helping to prevent bone loss and protect surrounding healthy teeth.

Possible risks of porcelain bridges
Despite being a common and aesthetically pleasing restorative option, the procedure may involve certain risks, including:
- Material sensitivity: Some patients may experience sensitivity or allergic reactions to metal components or porcelain, leading to irritation or discomfort in the mouth.
- Dental nerve damage: Although rare, there is a risk of affecting the dental nerve during the preparation of abutment teeth, which may cause prolonged sensitivity or changes in tooth sensation.
- Bite misalignment: Improperly fitted bridges can disrupt the bite, causing discomfort while chewing or affecting the temporomandibular joint.
- Impact on abutment teeth: Preparing natural teeth as abutments may weaken them, increasing the risk of dental issues if oral hygiene is not properly maintained.
How long porcelain dental bridges typically last?
On average, porcelain dental bridges can function effectively for about 7 to 10 years. However, their actual lifespan depends on various factors, such as the type of porcelain used, the health and strength of the abutment teeth, the dentist’s technique, and the patient’s daily oral hygiene habits.
To ensure long-term effectiveness and stable chewing function, patients should choose reputable dental clinics, attend regular check-ups, and maintain proper oral care as advised by their dentist.

Things to note before treatment
To ensure a safe restorative process and achieve optimal aesthetic outcomes, patients should prepare both physically and mentally before undergoing porcelain bridge treatment. Important considerations include:
- Thorough treatment of existing oral conditions: Before preparing abutment teeth, ensure that nearby teeth are free from cavities or inflammation to provide a stable foundation for the bridge.
- Selecting the appropriate porcelain material: Discuss with your dentist the advantages and limitations of different materials, such as metal-ceramic or all-ceramic options, to choose what best suits your budget and the location of the missing teeth.
- Time preparation: The porcelain bridge process usually takes several weeks and requires multiple appointments, so patients should arrange their schedules accordingly.
- Choosing a reputable dental clinic: Prioritize clinics with experienced dentists, high professional expertise, and modern facilities to ensure safe treatment and optimal restorative results.

Who makes a good candidate for a fixed porcelain bridge?
Fixed porcelain dental bridges offer an effective solution for tooth loss. However, they yield optimal results when suitable candidates are selected, including:
- Patients with alternating missing teeth who still have strong, healthy abutment teeth on both sides.
- Patients missing 1–2 adjacent molars or one or several front teeth.
- Patients who want to quickly restore chewing function and aesthetics without undergoing surgical procedures.
- Patients who wish to have a bridge supported by Implant abutments.
- Patients who are not suitable for dental implant placement due to health conditions or financial constraints.
Differences of Porcelain vs. PFM Bridges?
Both types of dental bridges have their own advantages and limitations. Below is a comparison between all-porcelain bridges and porcelain-fused-to-metal (PFM) bridges based on key criteria:
| Comparison Criteria | All-Porcelain bridge | PFM Bridge |
| Aesthetics | Excellent aesthetics with natural color similar to real teeth. | Less natural appearance; metal margins may become visible over time. |
| Structure | 100% monolithic porcelain. | Metal substructure covered with porcelain on the outside. |
| Safety | Highly biocompatible, does not irritate the gums. | May cause dark gum margins or irritation in patients sensitive to metal. |
| Durability | High strength, good load-bearing capacity, minimal deformation. | Durable, but the metal framework may oxidize over time. |
| Lifespan | Typically lasts 15–20 years or longer. | Average lifespan of 5–7 years. |
| Estimated cost | Approximately 4,500,000 – 14,000,000 VND per tooth. | Approximately 1,000,000 – 3,500,000 VND per tooth. |
When a porcelain bridge is preferred over implants or dentures?
Porcelain dental bridges are often favored over implants or removable dentures in several scenarios:
- Insufficient jawbone for implant placement: When the jawbone lacks adequate density for implant integration, and the patient does not want to undergo extensive bone grafting surgery.
- Medical conditions contraindicating surgery: Patients with chronic diseases or those undergoing cancer treatment are often advised to choose bridges to avoid surgical risks associated with implant placement.
- Cost considerations: Dental bridges are priced moderately—higher than removable dentures but significantly lower than dental implants—making them suitable for patients seeking fixed restoration within a reasonable budget.
- Shorter treatment time: Porcelain bridges typically require only a few weeks for completion, while implants may take 3-6 months for full osseointegration with the jawbone.
- Desire for better stability than dentures: Fixed bridges provide greater stability, improved chewing efficiency, and better aesthetics compared to removable dentures.
- Limited tooth loss with healthy adjacent teeth: Bridges are most effective when only one or a few consecutive teeth are missing, and neighboring teeth are strong enough to serve as abutments.

How are porcelain dental bridges placed?
To ensure safety and achieve optimal functional and aesthetic outcomes, the porcelain dental bridge procedure generally follows these standard steps:
- Step 1 – Examination and consultation: The dentist conducts a comprehensive oral examination and takes X-rays to assess jawbone conditions, developing a detailed treatment plan.
- Step 2 – Oral cleaning: After selecting the appropriate porcelain material, the oral cavity is thoroughly cleaned to ensure a sterile environment.
- Step 3 – Abutment tooth preparation and anesthesia: Local anesthesia is administered, and a portion of the natural teeth on both sides of the missing tooth area is reduced to create space for securing the bridge.
- Step 4 – Dental impressions: Accurate impressions are taken after tooth preparation to allow the dental technician to fabricate a bridge that matches the patient’s dental arch.
- Step 5 – Temporary bridge placement: While waiting for the final bridge, a temporary bridge is placed to protect the prepared abutment teeth and maintain aesthetics.
- Step 6 – Final bridge placement and completion: The dentist checks the fit, adjusts the bite, performs final cleaning of the restored area, and permanently secures the porcelain bridge using dental cement.

How do you maintain a fixed porcelain bridge?
Proper care is essential for the longevity and aesthetic appearance of a fixed porcelain bridge. To keep your porcelain dental bridge strong and durable over time, establish the following healthy daily habits:
- Maintain proper oral hygiene: Brush your teeth at least twice a day with a soft-bristled toothbrush to effectively remove plaque. Additionally, use a water flosser and dental floss to thoroughly clean between your teeth and around the bridge area.
- Pay attention to your diet: Initially, prioritize soft, easy-to-chew foods. Once you have adjusted, you may return to a normal diet, but it is advisable to limit overly hard or chewy foods to avoid putting excessive pressure on the porcelain bridge.
- Avoid habits that damage porcelain restorations: Stay away from extremely hot or cold foods and beverages, and limit alcohol and tobacco use to maintain the color stability and durability of your porcelain dental bridge over time.
- Schedule regular dental check-ups: Visit your dentist every six months so they can assess the stability of the bridge, promptly identify and address any issues, thereby extending the lifespan of your restoration.

Managing tooth sensitivity after treatment
It is common for patients to experience tooth sensitivity after receiving a porcelain dental bridge as a normal bodily response. The following measures can help reduce discomfort:
- Cold compress: Apply an ice pack to the outside of the cheek near the newly restored teeth to reduce swelling and soothe dental nerves. Ensure that this is done only after the local anesthesia has completely worn off to prevent cold burns.
- Saltwater rinses: Gently rinse your mouth with a diluted saltwater solution to help disinfect the area, remove debris, and promote faster healing of the gum tissue.
- Use specialized soothing gels: Apply desensitizing gels as prescribed by your dentist to alleviate sensitivity quickly.
- Replace interdental cleaning tools: Avoid traditional wooden toothpicks, as they may inadvertently create gaps around the bridge. Use a water flosser or dental floss instead to protect the dental structure.
- Build a suitable diet: Adopt a diet rich in calcium and essential minerals to enhance tooth strength and durability.
- Adjust brushing techniques: Use a toothbrush with fine, soft bristles and employ gentle circular motions on the porcelain surface. Avoid horizontal brushing, as it may damage the gum line and lead to gum recession.

This article highlights that porcelain dental bridges are an effective solution for quickly restoring comfortable chewing function and regaining confidence in daily communication. If you are considering tooth replacement, please contact Shark Dental Clinic at 1800 2069 for detailed consultation and to select the most optimal treatment plan for your smile.
Comment on the post